알츠하이머는 기억력과 사고력을 점차적으로 저하시켜 일상생활에 큰 영향을 미치는 신경 퇴행성 질환으로, 초기 증상을 조기에 파악하면 적절한 대응과 치료로 진행을 늦출 수 있습니다. 아래에서는 알츠하이머 초기 증상 4가지와 이에 대한 대처 방법에 대해 자세히 알아보겠습니다.

알츠하이머 초기 증상은 대개 점진적으로 나타나며 환자와 주변 사람들에게 혼란과 불안을 야기할 수 있습니다. 증상마다 차이는 있지만, 주로 다음과 같은 증상들이 나타납니다. 이러한 증상들은 환자와 가족이 알츠하이머를 조기에 인지하고 대처할 수 있도록 돕는 중요한 신호입니다.



1. 기억력 저하
알츠하이머 초기 단계에서는 최근에 일어난 사건이나 중요한 정보를 잊는 경우가 많습니다. 환자는 방금 한 일을 기억하지 못하거나 일상적으로 자주 쓰는 물건의 위치를 자주 잃어버리는 경우가 생깁니다. 예를 들어, 열쇠나 안경을 어디에 두었는지 금방 잊어버리거나, 사람들과 나눈 대화 내용을 기억하지 못해 대화를 반복하려 하는 등의 증상이 흔합니다.



이러한 기억력 저하는 단순한 건망증과 다르게, 점차 심각해지며 일상생활을 방해할 수 있습니다. 환자 자신도 혼란스러움을 느끼며 이에 따라 불안감이 증가할 수 있으며, 가족들과의 소통에 어려움을 겪게 됩니다. 이때 기억력을 보조해 줄 수 있는 수첩이나 알람을 사용해 일정을 기록하고 일정한 루틴을 유지하는 것이 중요합니다. 가족들은 중요한 약속이나 활동을 함께 기억하고 반복하여 안내함으로써 환자의 불안감을 덜어줄 수 있습니다.






2. 언어 사용의 어려움
알츠하이머 초기에는 언어 표현에서 어려움을 겪는 경우가 많습니다. 환자는 일상적인 대화에서 흔히 쓰는 단어를 잊어버리거나, 대화를 이어가기 위해 적절한 단어나 표현을 찾는 데 어려움을 느끼게 됩니다. 예를 들어, "숟가락"이라는 단어를 잊어버리고 "그거"라고 표현하거나, 특정 물건의 이름을 떠올리지 못해 설명이 어색해지는 경우가 있습니다. 대화 중 단어나 문장의 흐름이 어색해지면서 환자 스스로도 답답함을 느끼고, 대화를 이어가는 데 어려움을 겪을 수 있습니다.



이러한 상황이 반복되면 환자는 대화에 대한 자신감을 잃고, 점점 사회적 활동을 피하게 될 수도 있습니다. 주변 사람들은 환자의 말을 천천히 듣고 이해하려는 자세가 필요하며, 필요한 경우 간단한 시각 자료나 그림을 통해 의사소통을 돕는 방법도 효과적일 수 있습니다. 이러한 방식은 환자가 대화의 흐름을 따라가는 데 큰 도움이 되며, 자신감을 회복하는 데도 긍정적인 영향을 줄 수 있습니다.
3. 시간과 장소 혼란
알츠하이머 환자는 시간과 장소에 대한 인지 능력이 점차 저하되어, 현재의 시간이나 장소를 혼동하는 경우가 많아집니다. 환자는 평소 가던 장소에서 길을 잃거나, 약속 시간을 잊어버리는 등 혼란을 경험할 수 있습니다. 예를 들어, 가족들과 만나기로 한 장소나 시간을 혼동하여 정해진 시간에 도착하지 못하거나, 익숙한 경로임에도 길을 헤매게 되는 경우가 많아집니다. 이러한 혼란은 환자에게 큰 불안감을 줄 수 있으며, 일상생활의 질을 떨어뜨릴 수 있습니다.



이때 가족과 주변 사람들은 환자가 중요한 일정과 장소를 기억할 수 있도록 도움을 주는 것이 필요합니다. 예를 들어, 일정을 함께 체크하거나 위치를 미리 알려주는 것이 도움이 될 수 있습니다. 휴대전화나 종이로 된 일정표를 사용하여 중요한 약속이나 활동을 미리 기록하고 시각적인 정보로 제공해 주는 것도 좋은 방법입니다. 또한, 집안에 시계와 캘린더를 잘 보이는 곳에 두어 시간이 헷갈리지 않도록 도움을 주는 것도 효과적입니다.
4. 성격 변화 및 감정 기복
알츠하이머 초기에는 이전과는 다른 성격 변화나 감정 기복을 겪는 경우가 많습니다. 환자는 이유 없이 불안감이나 우울감을 느끼거나, 주변 사람들에게 예민하게 반응하기도 합니다. 예를 들어, 평소 차분하던 사람이 갑자기 화를 내거나, 불안해하면서 주변 사람들의 행동에 민감하게 반응하는 등의 모습을 보일 수 있습니다. 이러한 감정 변화는 환자뿐만 아니라 함께 생활하는 가족들에게도 큰 스트레스를 줄 수 있으며, 관계의 긴장감을 높일 수 있습니다.



이때 가족들은 환자의 이러한 감정 변화를 이해하고 포용하는 태도가 필요합니다. 환자가 안정감을 느낄 수 있도록 주변에서 지속적인 지지를 보내며, 작은 성취감을 느낄 수 있는 활동을 통해 긍정적인 경험을 유도하는 것이 좋습니다. 전문가의 상담을 통해 감정 변화에 대처하는 방법을 배우고 필요한 경우 심리치료나 약물 치료를 고려해 보는 것도 도움이 될 수 있습니다. 이러한 노력들은 환자에게 안정을 주고 삶의 질을 유지하는 데 큰 도움이 됩니다.
❓ 알츠하이머 관련 자주 묻는 질문 FAQ
Q: 알츠하이머 초기 증상은 어느 나이에 주로 나타나나요?
알츠하이머는 주로 65세 이상의 노인에게서 많이 발병하지만, 드물게는 50대에서도 나타나는 조기 발병 사례가 있습니다. 가족력이 있는 경우 유전적 요인으로 인해 더 일찍 발병할 가능성이 존재하기 때문에, 증상이 나타날 경우 빠른 검진이 필요합니다.Q: 알츠하이머 초기 증상을 개선하는 방법이 있나요?
증상을 완전히 없앨 수는 없지만, 규칙적인 운동과 균형 잡힌 식사, 두뇌를 자극하는 활동은 증상 진행을 늦추는 데 도움을 줄 수 있습니다. 적절한 운동은 뇌 혈류를 증가시키고, 인지 기능에 긍정적인 영향을 미칠 수 있습니다. 또한, 독서, 퍼즐 맞추기 등 두뇌 활동을 통한 자극도 초기 증상 완화에 도움이 됩니다.Q: 알츠하이머 초기 증상을 진단하는 방법은 무엇인가요?
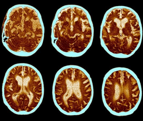
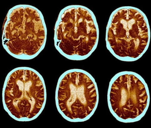
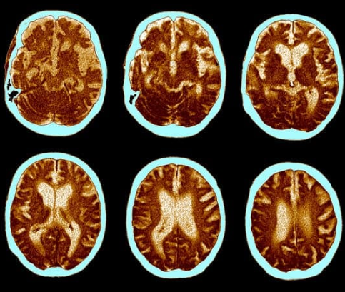
초기 알츠하이머는 신경과 전문의와의 상담을 통해 진단할 수 있으며, 인지 검사와 함께 MRI 또는 CT 스캔을 통해 뇌 구조를 확인하는 과정이 포함됩니다. 이러한 진단 도구들은 뇌의 변화 상태를 파악하는 데 중요한 역할을 하며, 조기 진단이 가능하도록 돕습니다.Q: 알츠하이머 초기 증상과 치매의 차이는 무엇인가요?
알츠하이머는 치매의 한 종류로, 주로 기억력 저하와 관련된 증상이 먼저 나타나는 것이 특징입니다. 반면 치매는 다양한 원인에 의해 발생할 수 있으며, 인지 기능의 광범위한 저하를 포함하는 광의의 개념입니다. 알츠하이머는 전체 치매 환자 중 상당한 비율을 차지하는 주요 원인 질환입니다.Q: 알츠하이머 예방이 가능한가요?
알츠하이머의 확실한 예방책은 없지만, 건강한 생활습관을 유지하고 두뇌를 지속적으로 자극하는 활동을 통해 발병 위험을 줄일 수 있습니다. 식습관 개선, 충분한 수면, 스트레스 관리 또한 중요한 요소로 작용할 수 있습니다.Q: 알츠하이머 증상이 의심될 때 가족이 할 수 있는 일은?
가족이 알츠하이머 증상을 의심한다면, 전문 의료진과 상담하여 초기 진단을 받고, 구체적인 대처 방법을 마련하는 것이 중요합니다. 또한, 환자가 스트레스와 불안을 덜 느낄 수 있도록 안정적인 환경을 제공하는 것이 필요합니다.Q: 알츠하이머 초기 증상에는 어떤 치료법이 효과적인가요?
알츠하이머 초기 증상에는 약물 치료와 함께 인지 행동 치료가 증상 완화에 도움을 줄 수 있습니다. 특히 초기에는 증상 진행을 늦추기 위한 약물 처방이 가능하며, 인지 기능을 유지하는 다양한 활동도 추천됩니다.Q: 알츠하이머 환자가 스스로 할 수 있는 대처 방법이 있나요?
환자 스스로 할 수 있는 방법으로는 규칙적인 생활 습관 유지와 기억 보조 장치를 활용하는 것이 있습니다. 알람 설정이나 메모 등을 통해 일정을 관리하고, 일상생활에서 자주 사용하는 물건의 위치를 일정하게 유지하는 습관이 도움이 됩니다.
두통의 원인과 종류 치료 방법
두통은 전체 인구의 70~80% 사람들이 경험하는 일반적인 증상으로, 일상생활에 큰 영향을 미칠 수 있습니다. 두통은 다양한 원인과 치료 방법이 존재합니다. 두통은 주기적으로 발생할 수 있으며,
withstorys.com
어지럼증 혹시 이석증? 어지럼증 원인과 증상
어지럼증은 단순히 균형 감각에 문제가 생겨 발생하는 증상으로 여겨지기도 하지만, 반복되거나 증상이 심할 경우 심각한 기저 질환을 암시할 수 있습니다. 따라서 어지럼증이 나타나는 원인을
withstorys.com
이석증 증상 이석증에 좋은 음식과 영양제
이석증은 귀 내부의 전정기관에 위치한 이석이 제자리에서 떨어져 나가면서 발생하는 어지럼증을 유발하는 질환입니다. 이로 인해 일상생활에서 큰 불편을 느끼는 분들이 많습니다. 이석증의
withstorys.com
'건강정보' 카테고리의 다른 글
| 모낭염 원인과 치료방법 방치하면 큰일! 모르면 손해 보는 이유 (1) | 2024.12.02 |
|---|---|
| 감기 증상 빨리 낫는 법: 효과적인 관리와 예방 방법 (1) | 2024.11.18 |
| 발바닥통증의 원인과 부위별 설명 병원 선택 정보 (6) | 2024.11.13 |
| 허리디스크에 좋은 운동 증상 치료법 알아보기 (10) | 2024.11.10 |
| 눈 건강에 좋은 영양제 필수 영양제 TOP 5 👁️ (1) | 2024.11.09 |